• 牙科美容資訊
    • 全部文章
    • 全瓷冠貼片
    • 牙齒美白
    • 全瓷嵌體
    • 人工植牙
    • 健康保健
  • 案例介紹
    • 全部案例
    • 全瓷冠貼片
    • 牙齒美白
    • 全瓷嵌體
    • 植牙全口重建
  • 醫師動態
  • 診所資訊
  • 回首頁

張凱榮醫師

Dr. Chang Kai Jung

案例介紹

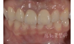
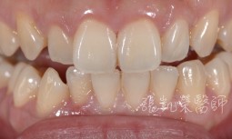
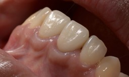
  • 牙齒顏色變黃斑駁,排列不整齊---全瓷冠治療
    牙齒顏色變黃斑駁,排列不整齊---全瓷冠治療
  • 假牙邊緣牙齦變黑---全瓷冠
    假牙邊緣牙齦變黑---全瓷冠
  • 假牙太長---全瓷冠合併矯正治療
    假牙太長---全瓷冠合併矯正治療
  • 笑齦太多---全瓷冠貼片併牙齦整形術
    笑齦太多---全瓷冠貼片併牙齦整形術
  • 牙齒突然變黑---齒內美白
    牙齒突然變黑---齒內美白
  • 假牙變色,齒色暗沈---全瓷冠併全口美白
    假牙變色,齒色暗沈---全瓷冠併全口美白
  • 牙齒美白 II
    牙齒美白 II
  • 噴砂美白
    噴砂美白
  • 牙齒美白
    牙齒美白
  • Prev
  • 1
  • 2
  • 3
  • 4
  • 5
  • Next

© 2026 美容牙科張凱榮醫師. All Rights Reserved | Design by W3layouts

  • 牙科美容資訊
  • 案例介紹
  • 常見問題
  • 醫師動態
  • 診所資訊
  • 回首頁