• 牙科美容資訊
    • 全部文章
    • 全瓷冠貼片
    • 牙齒美白
    • 全瓷嵌體
    • 人工植牙
    • 健康保健
  • 案例介紹
    • 全部案例
    • 全瓷冠貼片
    • 牙齒美白
    • 全瓷嵌體
    • 植牙全口重建
  • 醫師動態
  • 診所資訊
  • 回首頁

張凱榮醫師

Dr. Chang Kai Jung

案例介紹

  • 牙齒咬起來酸酸的,不是蛀牙,而是牙齒裂了------全瓷嵌體修復
    牙齒咬起來酸酸的,不是蛀牙,而是牙齒裂了------全瓷嵌體修復
  • 根管治療後牙齒變黑了,要怎麼處理呢------齒內美白後,全瓷冠貼片修復
    根管治療後牙齒變黑了,要怎麼處理呢------齒內美白後,全瓷冠貼片修復
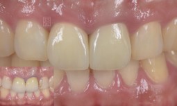
  • 我的牙齒好小顆,該怎麼辦呢?------樹脂模擬、全瓷冠修復
    我的牙齒好小顆,該怎麼辦呢?------樹脂模擬、全瓷冠修復
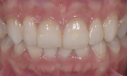
  • 牙齒變色與假牙不一致、樹脂變色---全瓷冠貼片修復
    牙齒變色與假牙不一致、樹脂變色---全瓷冠貼片修復
  • 矯正後,牙齒整齊了,但牙齒黃黃的---美白與全瓷冠貼片修復
    矯正後,牙齒整齊了,但牙齒黃黃的---美白與全瓷冠貼片修復
  • 矯正後,讚爛笑容最後一哩路---全瓷冠貼片修復
    矯正後,讚爛笑容最後一哩路---全瓷冠貼片修復
  • 我矯正後門牙有縫開掉,該怎麼處理呢?---全瓷冠修復
    我矯正後門牙有縫開掉,該怎麼處理呢?---全瓷冠修復
  • 門牙晃得好厲害,原來牙齒斷掉了!!!---植牙合併全瓷冠改善咬合治療
    門牙晃得好厲害,原來牙齒斷掉了!!!---植牙合併全瓷冠改善咬合治療
  • 我超怕看牙!!!!---全瓷冠、奈米樹脂、植牙修復
    我超怕看牙!!!!---全瓷冠、奈米樹脂、植牙修復
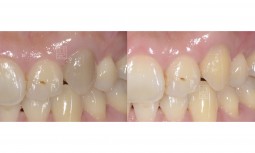
  • 以前補銀粉的牙齒咬起來酸酸的-----牙齒裂了,全瓷嵌體修復
    以前補銀粉的牙齒咬起來酸酸的-----牙齒裂了,全瓷嵌體修復
  • 我的牙齒很黃,笑齦很明顯,該怎麼辦呢?------全瓷貼片與全瓷嵌體修復、上唇重置術
    我的牙齒很黃,笑齦很明顯,該怎麼辦呢?------全瓷貼片與全瓷嵌體修復、上唇重置術
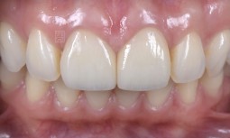
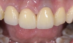
  • 全瓷冠貼片修復
    全瓷冠貼片修復
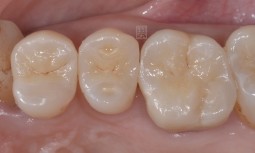
  • 根管治療後怎麼辦?   全瓷嵌體修復
    根管治療後怎麼辦? 全瓷嵌體修復
  • 我的牙齒咬東西好酸啊---全瓷嵌體修復
    我的牙齒咬東西好酸啊---全瓷嵌體修復
  • 天啊!!我把我的牙齒咬裂了---全瓷嵌體修復
    天啊!!我把我的牙齒咬裂了---全瓷嵌體修復
  • 我的牙怎麼突然變黑了!!!---齒內美白
    我的牙怎麼突然變黑了!!!---齒內美白
  • 我的牙齒有異味---植牙、全瓷冠修復
    我的牙齒有異味---植牙、全瓷冠修復
  • 牙齒黃黃的刷不乾淨------全瓷冠貼片修復
    牙齒黃黃的刷不乾淨------全瓷冠貼片修復
  • 後面牙齒咬起來好痠痛,原來是智齒造成的問題------全瓷嵌體修復
    後面牙齒咬起來好痠痛,原來是智齒造成的問題------全瓷嵌體修復
  • 牙齒咬起來好痛,而且牙齒變長了------植牙全瓷冠修復
    牙齒咬起來好痛,而且牙齒變長了------植牙全瓷冠修復
  • 牙齒門牙好長,像小老鼠一樣,要怎麼辦呢?------全瓷貼片
    牙齒門牙好長,像小老鼠一樣,要怎麼辦呢?------全瓷貼片
  • 我的兩顆大黃牙怎麼辦?---美白全瓷冠修復
    我的兩顆大黃牙怎麼辦?---美白全瓷冠修復
  • 上顎大臼齒牙齒外翻,牙刷不好放,很難清潔---全瓷嵌體治療
    上顎大臼齒牙齒外翻,牙刷不好放,很難清潔---全瓷嵌體治療
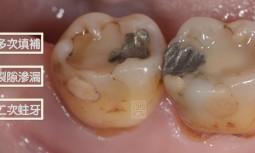
  • 我的牙齒好像乞丐裝,縫縫補補好多次---多次填補再蛀牙
    我的牙齒好像乞丐裝,縫縫補補好多次---多次填補再蛀牙
  • Prev
  • 1
  • 2
  • 3
  • 4
  • 5
  • Next

© 2026 美容牙科張凱榮醫師. All Rights Reserved | Design by W3layouts

  • 牙科美容資訊
  • 案例介紹
  • 常見問題
  • 醫師動態
  • 診所資訊
  • 回首頁